出っ歯(上顎前突)を治療して
フェイスライン/Eラインも整えませんか?
- 口が閉じない
- 口ゴボで悩んでいる
- フェイスラインが気になる
こうしたお悩みをお持ちの方、ご相談ください。
大人の矯正:月額7600円~
こどもの矯正:月額5900円~
お電話でのご予約
0569-21-0066


こうしたお悩みをお持ちの方、ご相談ください。
大人の矯正:月額7600円~
こどもの矯正:月額5900円~







横顔の美しさの基準のひとつである、「Eライン」という言葉をご存知でしょうか。Eラインとは、鼻の頭とあごの先を結ぶ直線のこと。口元が、Eラインの上か、少し内側に入る横顔が理想的であると言われています。
このEラインを変えるためには、美容整形が必要と考えられる方も多いと思いますが、その必要ありません。実は矯正治療によっても、このEラインを整えることができるのです。
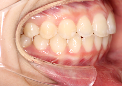
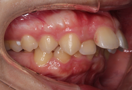
出っ歯や受け口の場合、フェイスラインが横顔の美しさの基準であるEラインから外れてしまっているケースが多く見られます。ご自身の横顔にコンプレックスを感じていらっしゃる方も多いかも知れません。
しかし、症状にもよりますが、矯正治療によりEラインを改善できることがあります。お悩みの方は、ぜひお気軽にご相談ください。
上顎の前歯が前へ飛び出していたり、上顎全体が前方へ出ていたりする状態を「出っ歯」と呼びます。下顎全体が後ろに下っている状態でも、出っ歯に見えることがあります。
子供の頃に指をしゃぶっていた、唇を噛む癖がある、舌で歯を押してしまう癖がある、などが出っ歯の原因と考えられています。また30%程度は遺伝により、上下の顎の骨がずれてしまっているケースもあります。

出っ歯の問題は見た目だけではありません。その他にも実はさまざまなリスクがあるのです。
・歯が折れてしまったり、唇を怪我したりしやすい
・奥歯を失なってしまうことがある
・虫歯や歯周病になりやすくなる
・顎関節症になってしまうケースもある
転んでしまったりした時に、顔をぶつけたりすると前歯を折ってしまったり、唇を怪我してしまったりすることがあります。また前歯が上手く使えないことで、奥歯の負担が増え、将来的に奥歯を失ってしまう場合があります。
他には、出っ歯の場合、虫歯や歯周病になりやすいことが挙げられます。
出っ歯の場合、睡眠中などに口が長時間開いたままになってしまうことがあります。この症状により、口の中が乾燥してしまい、唾液の働きが低下してしまうことにつながります。唾液の働きが下ると、虫歯・歯周病・口臭といったリスクが高まります。
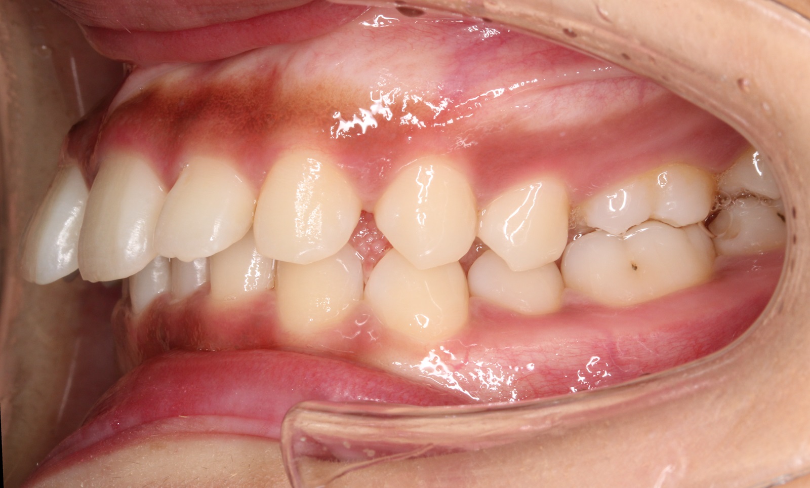
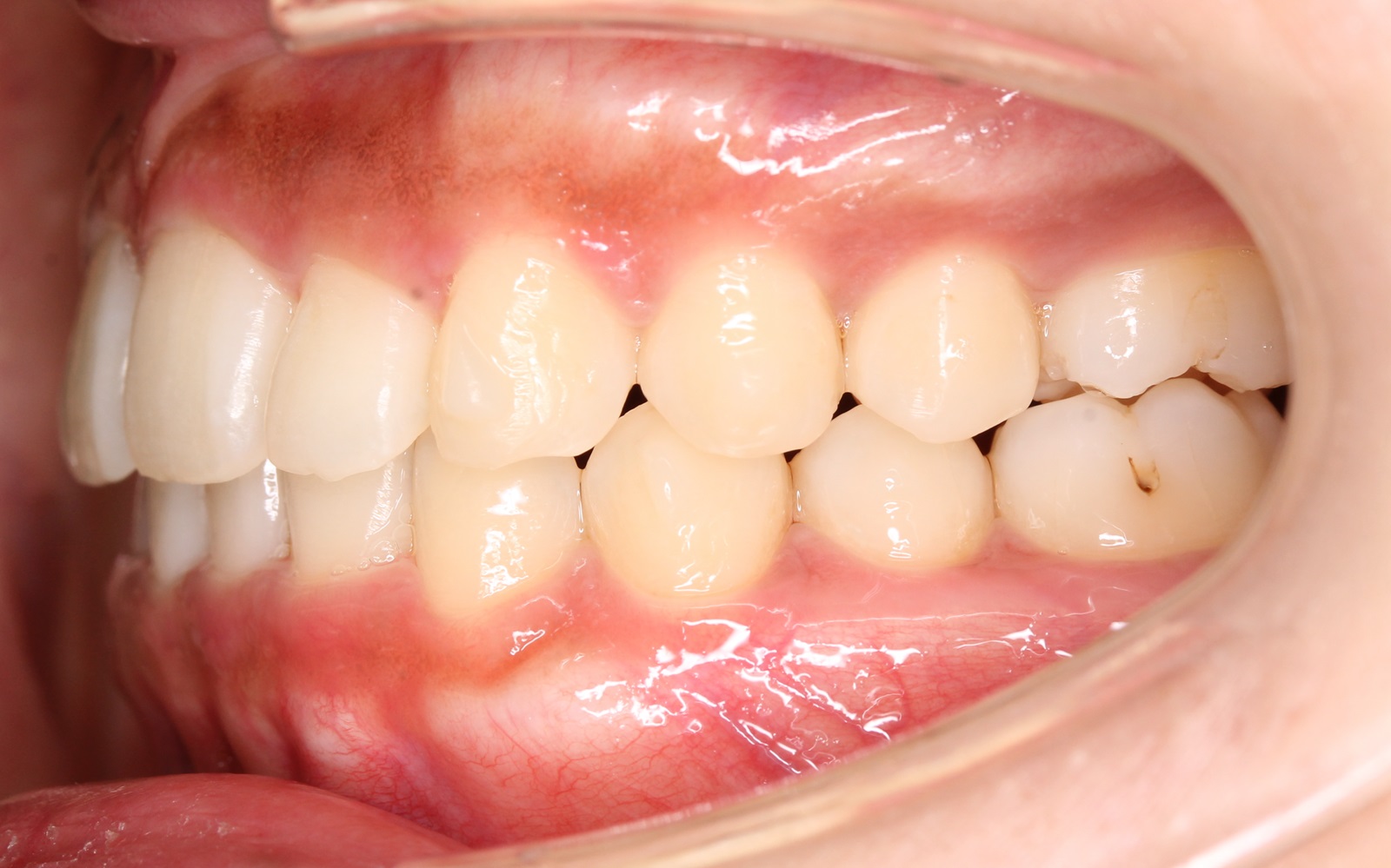
当院では出っ歯に対して、さまざまな治療方法をご提案しています。患者さんのご要望をしっかりお聞きし、口と歯の状態に合わせて、プロフェッショナルな立場から最適な治療法をご提案しています。

透明で目立たない専用のマウスピースを使う矯正方法です。取り外しが可能なので、食事も楽しめ、歯磨きやマウスピースの洗浄も容易です。

もっとも一般的な矯正方法です。歯列矯正と言えばこの方法をイメージする方も多いのではないでしょうか。金属のワイヤーが目立つことを心配される方も多いですが、現在は白いパーツを使って目立たないようにした装置も利用可能です。
治療中は装置を取りはずせないのですが、比較的低コストで幅広い症例に対応可能な方法です。しゃべるときにも影響が少ないというメリットもあります。

最大で6本の前歯のエナメル質の一部を削り、抜歯をすることなしに、歯を動かすスペースを確保する方法です。確保できるスペースには限度がありますが、軽度の出っ歯であれば対応が可能です。マウスピース矯正、ワイヤー矯正どちらの場合でも、この方法を利用することが可能です。

アンカースクリューとは矯正治療に使われる補助的な装置で、金属製の小さなネジ状の装置です。歯を支えている骨に埋め込み、固定して使用します。チタン製で金属アレルギーが起こりにくく、体への負担も少ない装置です。埋め込んだアンカースクリューは、矯正のための基準点として使用し、治療のスピードや効果の向上のために使用します。
当院では、その他にもさまざまな治療方法、治療装置を用意しています。ぜひ一度ご相談ください。

矯正治療というと、決して安くはない費用の面で、治療を躊躇われる方も多いかと思います。当院では、歯並びに悩みを持たれている患者さんの希望に応えるためにデンタルローンを導入しています。
「矯正治療に興味はあるけど費用面が心配で・・・」という患者さんでも、デンタルローンをご利用いただくことで無理なく理療ができますので、治療費が心配という方は、まずはご相談ください。

当院は矯正治療の知識、経験が豊富な医師が在籍する、総合歯科医院です。
矯正専門医院では、もちろん質の高い矯正ができますが、虫歯や歯周病の治療は対象外の場合があります。逆に一般的な総合歯科医院では、虫歯や歯周病に対応する代わり、高度な矯正治療が受けられません。
当院では、難しい矯正治療にも対応でき、虫歯や歯周病の治療から抜歯なども行うことができます。専門的かつ総合的な治療を当院のみで受けていただけます。
専門性 | 抜歯 | 虫歯・歯周病治療 | 1つの医院で完結 | |
|---|---|---|---|---|
矯正「専門」医院 | ◎ | × | × | × |
「総合」歯科医院 | 〇or△ | 〇 | 〇 | 〇 |
当院 | ◎ | 〇 | 〇 | 〇 |
当院では、患者さんが抱えていらっしゃるお口のお悩みや疑問・不安などにお応えする機会を設けております。どんなことでも構いませんので、私たちにお話ししていただけたらと思います。
ご興味がある方は下記からお問い合わせください。