【開咬の治療】
前歯が噛み合わない・・・
上手く口が閉じない・・・
こうしたお悩みをお持ちの方はご相談ください。
- ワイヤー矯正、マウスピース矯正どちらも可能
- デンタルローンの利用もOK
大人の矯正:月額7600円~
こどもの矯正:月額5900円~
当院は完全予約制です。
2回目以降のご予約はお電話にて
お願いいたします。



前歯が噛み合わない・・・
上手く口が閉じない・・・
こうしたお悩みをお持ちの方はご相談ください。
大人の矯正:月額7600円~
こどもの矯正:月額5900円~









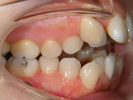
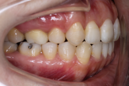
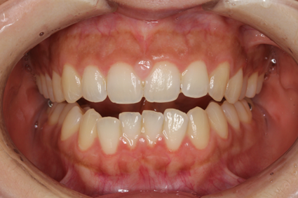
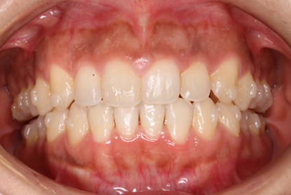
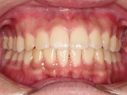
開咬(オープンバイト)は、不正咬合の一種です。奥歯でしっかり噛んでも前歯が開いて噛み合わないため、食事のときにものを噛み切れなかったり、滑舌が悪くなったりします。
ただし、下顎を動かすことで前歯が当たるようになる場合は、開咬とはいいません。下顎を前後に動かしても前歯がまったく当たらない状態のことを開咬といいます。口呼吸や舌のくせ、遺伝などが原因です。当院では、矯正治療や舌のトレーニングを行うことで開咬を改善します。
開咬には、次のリスクがあります。

食事のときにストレスを感じる方は多いでしょう。前歯が噛み合わないため、奥歯でものを噛むしかありません。とくに麺類を食べるときは、前歯でまったく噛み切れないために丸呑みしてしまう方もいます。丸呑みすることが多く、胃腸に負担をかけやすい生活を続けている方も少なくありません。
また、食事をするときは前歯に分散されるべき力が奥歯にかかってしまい、大きな負担がかかることになります。奥歯ばかりを使うことで歯の破損や歯周病などを引き起こすこともあるので注意が必要です。
奥歯の負担が増えると、顎関節症につながることもあります。前歯が噛み合わず空気が漏れるため、滑舌にも影響してしまいます。

静間歯科には、歯のプロフェッショナルが在籍しています。開咬でお悩みの方は、お気軽にご相談ください。

当院は、総合歯科医院です。矯正治療はもちろんのこと、虫歯や歯周病など一般歯科の診療も行っています。矯正を専門に行っている歯科医院では、矯正治療のみしか受けることができません。
矯正治療中に虫歯や歯周病になった場合は、ほかの歯科医院を受診する必要があります。当院では専門性の高い総合的な治療を受けることができます。

矯正治療は、ただ歯並びを整えるだけの治療ではありません。歯並びは、適正なバランスが取れていることで美しく見えます。ディスキングとは、このバランスを作るために歯の横を削って適正な歯のサイズに整えることです。
削るといっても大きく歯を失うことは決してありません。削る量は片側で0.25mm、両側で0.5mm程度です。歯にダメージが及ばない範囲で削って歯にスペースを作り出し、矯正治療の仕上がりを良くします。

アンカースクリューは、チタン製の小さなネジのことです。このアンカースクリューを土台にすることで歯を効率的に動かすことができます。
歯が並ぶスペースを作るために抜歯をした場合、従来の治療法では、頭にかぶる装置(ヘッドギア)を使用して奥歯が前に出てこないようにする必要がありました。
1日に8時間以上は装着しなければならず、患者さんの負担になりやすいことが大きなデメリットでした。しかしアンカースクリューを使用すれば、ネジに向かって歯を引っ張る力が休みなく続くため、効率的に矯正治療を進められます。

矯正治療には、どうしても費用がかかってしまいます。費用が理由で治療に踏み切れない方もいるのではないでしょうか。当院ではどなたでも治療を受けていただけるように、デンタルローンを導入しています。デンタルローンとは、歯科治療費を分割で支払うためのローンです。
1年間手数料無料で分割払いができます。お金が原因で歯にコンプレックスを抱えたままでいる方を一人でも多く笑顔にするために、当院ではデンタルローンを導入しています。
当院では、患者さんが抱えていらっしゃるお口のお悩みや疑問・不安などにお応えする機会を設けております。どんなことでも構いませんので、私たちにお話ししていただけたらと思います。
ご興味がある方は下記からお問い合わせください。