すきっ歯でお悩みの方へ
歯の間にすき間が空いた状態の
「リスク」をご存じですか?
- 患者さんの症状に合った治療を提供!
- 1年間手数料なしの分割払いも対応!
大人の矯正:月額7600円~
こどもの矯正:月額5900円~
お電話でのご予約
0569-21-0066


すきっ歯でお悩みの方へ
大人の矯正:月額7600円~
こどもの矯正:月額5900円~







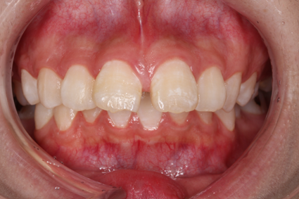
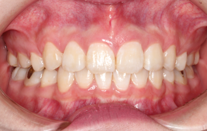
すきっ歯とは、歯と歯の間に隙間ができた状態を指します。「空隙歯列」と呼ばれ、中でも前歯の中央部分が特に離れている状態は「正中離開」とも呼ばれます。
すきっ歯の原因にはさまざまな要因があります。例えば、先天的な顎や歯の形態の異常、歯周病、指しゃぶりなどが挙げられます。これらの原因に応じて、矯正治療が適切に計画されます。
通常、すきっ歯の矯正治療では抜歯を行う必要が少なく、治療期間は1年から1年半程度と比較的短期間で完了することができるのが特徴です。

すきっ歯の方は、歯と歯の間に隙間があるため、歯磨きがしやすいというメリットもありますが、一方でいくつかのリスクも考えられます。主なリスクは以下が挙げられます。

食べ物がすき間に挟まりやすくなるため、歯垢(プラーク)が溜まりやすく、虫歯や歯周病のリスクが高まります。すきっ歯の状態に合わせた丁寧な口腔ケアが必要になります。

すきっ歯が原因で、噛み合わせが正常でない場合、歯に負担がかかり咬合性外傷(こうごうせいがいしょう)が起こる可能性があります。咬合性外傷とは、歯の噛み合わせが正常でないことが原因で引き起こされる歯や口腔組織の損傷や問題のことです。これが長期的に進行すると、歯を失ってしまうこともあります。

噛み合わせが悪い状態が長期間続くと、顎関節に負担がかかり、顎関節症の発症リスクが高まります。
これらのリスクは、すきっ歯の方にとって重要なリスクであり、定期的な歯科検診等で適切な治療が必要です。

当院では、多様な矯正治療法と装置を取り揃えており、患者さんの歯並びの状態やご希望に応じて、最適な治療法を提案しています。

マウスピース矯正は、専用の透明なマウスピースを使用して歯並びを矯正していく治療法です。マウスピースは透明であるため目立たないため、人前に立つ機会の多い方や、矯正していることをあまり周りに知られたくない方におすすめです。
マウスピースは取り外しも可能なため、食事を楽しむ際には食べ物に制限がなく、また歯磨きや装置の手入れも簡単に行えます。ただし、装着時間が短くなると、その分矯正が進まないので、1日の装着時間は自己で管理しながら守る必要があります。
治療開始前には、患者さんの歯並びの状態を詳細に評価し、それに基づいて専用のマウスピースを設計します。治療期間中は、定期的に進捗をチェックし、必要に応じてマウスピースを調整していきます。

表側矯正(唇側矯正)は、名前の通り歯の表側(唇側)に装置を取り付け、歯を移動させていきます。装置は取り外すことができませんので、治療中は口の中に装置がある状態が続きます。そのため、口を開けると金属のワイヤーやブラケットが見えて目立つこともありますが、最近では白いワイヤーやブラケットを使用することで目立ちにくくすることも可能です。
表側矯正の主なメリットとしては、矯正治療法の中では比較的安価でありながら幅広い症例に対応できる点が挙げられます。また、取り外しができないため、しっかりと確実に歯を動かせます。
ただし、治療中は定期的な調整が必要であり、装置が口の中にあることから口腔内を衛生的に保つことが重要です。歯磨きや装置のケアには特に注意が必要です。

当院では、矯正治療にかかる費用が負担となることを考慮し、患者さんが安心して治療を受けられるようにデンタルローンをご用意しています。矯正治療は通常、高額な費用がかかるため、多くの方が治療をためらうことがありますが、当院では分割払いによる支払いが可能です。さらに、手数料なしで1年間の分割払いもご利用いただけます。
美しく整った歯並びを手に入れたいという患者さんのご要望に応え、治療をサポートしています。治療を通じて、自信を取り戻したい方々を全力で応援し、サポートいたしますので、お気軽にご相談ください。

当院は、幅広い矯正治療を行っている「総合歯科医院」です。矯正専門医院では高品質な矯正治療が受けられますが、虫歯や歯周病の治療は行われません。一般的な総合歯科医院では虫歯や歯周病の治療が可能ですが、矯正治療の専門性は限られています。
当院では、矯正治療の難しい症例にも対応できるだけでなく、虫歯や歯周病の治療、必要に応じた抜歯なども行うことができます。つまり、患者さんは一箇所で矯正治療だけでなく、全般的な歯科治療を総合的に受けることができるのが特長です。専門的な技術と幅広い診療サービスを通じて、患者さん一人ひとりのニーズに応える総合的な治療を提供しています。
矯正専門医院 | 一般歯科医院 | 当院 | |
|---|---|---|---|
専門的な矯正 | ◎ | 〇or△ | 〇 |
抜歯に対応 | × | 〇 | 〇 |
虫歯・歯周病治療(一般歯科治療) | × | 〇 | 〇 |
1つの医院で矯正治療が完結 | × | 〇or△ | 〇 |

【ディスキング】
当院では、ディスキングという矯正処置も行っています。ディスキングは、通常、Iストリッピングとも呼ばれ、抜歯を回避しつつ歯の並びを改善するために行われます。
従来、スペース不足が問題となる場合、抜歯が選択されますが、健康な歯を失うリスクを避けるための処置がディスキングです。歯の表面の厚さ2~3mmのエナメル質を最大0.5mmまで削ることで、歯並びを整えるスペースを確保します。例えば、前歯6本にディスキングを施すことで、合計で3mmのスペースを確保できます。さらに、他の歯にもディスキングを行うことで、最大5mmほどのスペースを確保することが可能です。
歯を削ると聞くと、処置が痛いイメージがあるかもしれませんが、一般的に痛みやしみるような不快感が少なく、患者さんにとって負担が少ない治療方法です。

【アンカースクリュー】
また、当院では歯科矯正用アンカースクリューも使用しています。従来の矯正治療では、歯同士を押したり引っ張ったりして歯を移動させるという方法でしたが、動かなくてもよい歯が動いてしまうというリスクもありました。
この点、アンカースクリューを用いると、動かしたい歯だけを移動させることができます。アンカースクリューと呼ばれるネジを顎骨に埋め込み、移動させたい歯を動かすのです。これにより、従来難しかった位置にある歯の移動も可能になりました。ネジを埋め込む手術は、通常1本あたり5~15分で行われ、出血や腫れもほとんどなく、負担の少ない治療なのでご安心ください。
当院では、患者さんが抱えていらっしゃるお口のお悩みや疑問・不安などにお応えする機会を設けております。どんなことでも構いませんので、私たちにお話ししていただけたらと思います。
ご興味がある方は下記からお問い合わせください。