デコボコの歯でお悩みの方へ
デコボコした歯並びのリスクをご存じですか?
- 患者さんの症状に合った治療を提供!
- 1年間手数料なしの分割払いも対応!
大人の矯正:月額7600円~
こどもの矯正:月額5900円~
お電話でのご予約
0569-21-0066


デコボコの歯でお悩みの方へ
大人の矯正:月額7600円~
こどもの矯正:月額5900円~













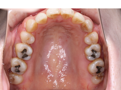
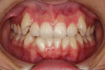
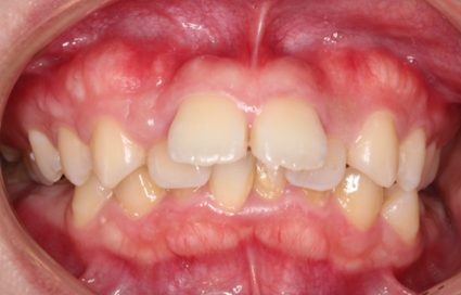
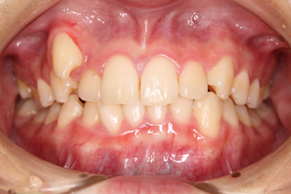
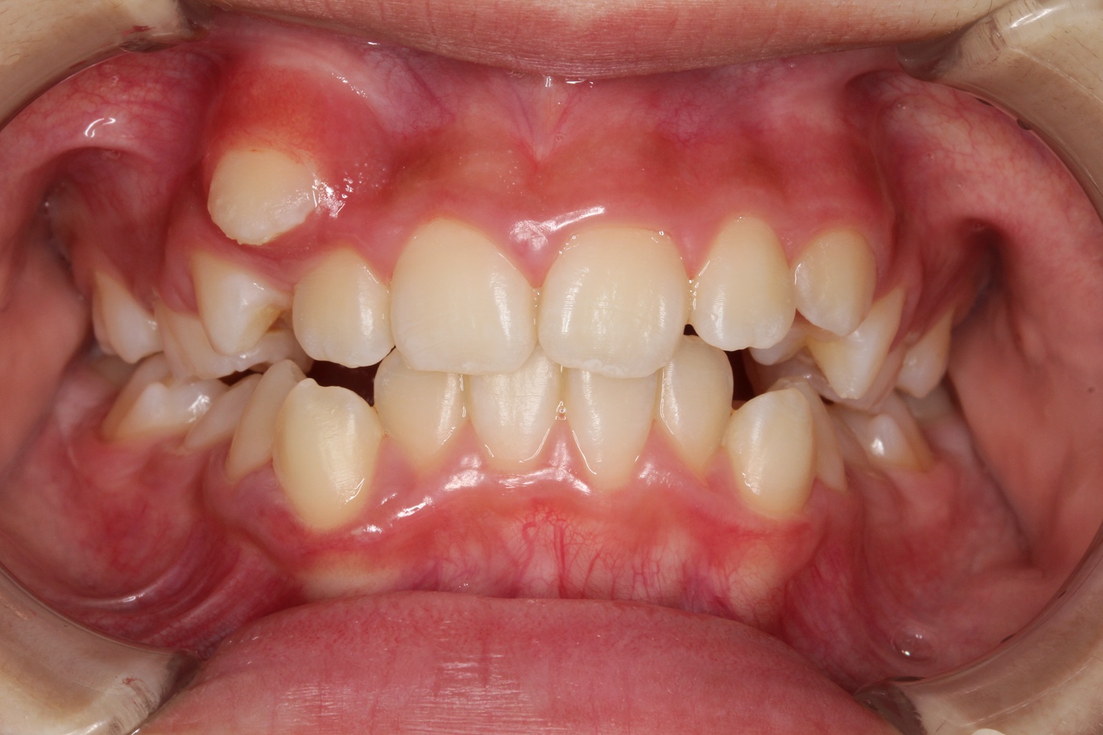
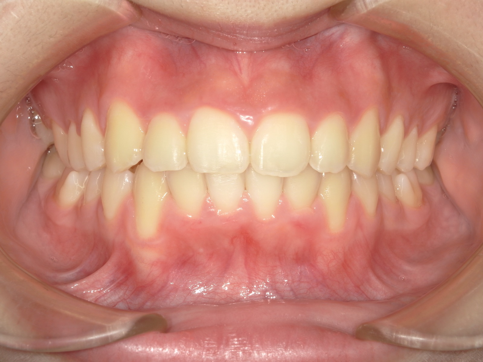
歯がデコボコに並んだ歯並びのことを「叢生(そうせい)」と言います。「乱ぐい歯」という名前でも知られています。叢生の歯並びの中で、よく知られているのが、上顎の犬歯が前方に突出している「八重歯」です。八重歯は可愛らしいイメージに捉えられることもありますが、歯並びとしては良くない、デコボコ歯並びの一種です。
叢生の原因は、顎の骨が小さく、歯が並ぶための十分なスペースが確保できないことが挙げられます。

叢生による問題は、見た目だけではありません。次のような様々な「リスク」があります。

歯並びが乱れていると、ブラッシングが難しい部分があり、汚れや歯垢が残りやすくなります。これにより、虫歯や歯周病のリスクが高まります。

歯が整っていないと、食べ物をうまく噛み砕けず、食事に支障をきたすことがあります。これが原因で消化不良を引き起こす可能性もあります。

歯の位置がずれていると、特定の音を正確に発音することが難しくなることがあります。言葉が明瞭でなくなることもあります。
その他、噛み合わせが悪いと、一部の歯に過度な負担がかかり、歯がすり減りやすくなります。さらに、加齢とともに歯が弱り、最終的に抜歯が必要になるというリスクも増加します。

当院では、以下の2つの矯正治療法と矯正装置を取り揃えており、患者さん一人ひとりの歯並びやご希望に応じて、最適な治療法をご提案いたします。

マウスピース矯正は、専用の透明なマウスピースを使用する矯正方法です。この方法の最大の特長は、装置が目立たないことです。透明な素材で作られているため、装着していてもほとんど見えず、日常生活で他人に矯正をしていることを気づかれる心配がありません。見た目を気にせず、自然な笑顔を保ちながら治療が進められます。
さらに、マウスピースは、必要に応じて簡単に取り外すことができます。食事の際にはマウスピースを外して好きなものを自由に楽しむことができ、矯正中の食生活に制限がかかる心配がありません。また、歯磨きやマウスピースの洗浄も簡単に行えるため、口腔内を清潔に保ちやすく、虫歯や歯周病のリスクを減らすことができます。
マウスピースは、患者さん一人ひとりの歯並びに合わせてカスタマイズされており、快適な装着感を提供します。治療は、段階的に新しいマウスピースを使用して歯を少しずつ移動させるので、痛みも比較的少ないです。

「矯正」と聞くと、多くの方が「表側矯正(唇側矯正)」を思い浮かべるのではないでしょうか。表側矯正では、矯正装置を歯の表側(唇側)に装着します。治療中に装置を取り外すことはできません。これにより、確実に歯を矯正することができます。
従来の表側矯正では、金属製のワイヤーや装置が目立ってしまうことがありました。口を開けると、矯正装置がはっきりと見えるため、見た目を気にされる方も少なくありません。しかし、最近では白いパーツを用いた装置が登場し、従来の金属製の装置に比べて目立たないよう工夫されています。このような改良により、審美性を保ちながら治療を進めることが可能です。
表側矯正は、他の矯正方法と比較して費用が比較的安価であることも大きな魅力です。予算に制限がある場合でも、手軽に始められる治療法として人気があります。また、軽度から重度の歯並びまで、幅広い症例に対応できるのも特徴の一つです。
また、当院では表側矯正ではなく、装置を歯の裏側に装着する「裏側矯正(舌側矯正)」も可能です。表側矯正よりもさらに審美性の高い治療が可能です。ご興味のある方はぜひご相談ください。

当院の矯正治療の特長には次のようなものがあります。

矯正治療には通常、かなりの費用がかかるため、治療を躊躇される方が多くいらっしゃいます。しかし、当院では「歯並びを整えたい」という患者さまの願いを叶えるために、経済的な負担を軽減する体制を整えています。
特に、デンタルローンの導入により、費用の分割払いが可能となっております。1年間の手数料なしでの分割払いも対応しており、「美しくなりたい」、または「長年のコンプレックスから解放されたい」という患者さんを積極的にサポートいたします。

当院は、矯正治療も一般治療も行っている「総合歯科医院」です。矯正専門の医院では、確かに専門的な矯正治療が受けられますが、虫歯や歯周病などの一般的な歯科治療には対応していない場合が多いです。
一方で、一般的な総合歯科医院では、虫歯や歯周病の治療は可能ですが、矯正治療の質は専門医院に劣ることがあります。
当院では、矯正治療を専門とする医師も在籍しているため、難しい症例にも対応できる高い専門性を持っています。同時に、虫歯や歯周病の治療、抜歯などの一般的な歯科治療も提供しております。つまり、当院にご来院いただくことで、専門的かつ総合的な歯科治療を一箇所で完結することができます。患者さんが安心して矯正治療と一般的な歯科治療を同時に受けられる、ワンストップで総合的なケアを提供いたします。
矯正専門医院 | 一般的な歯科医院 | 当院 | |
|---|---|---|---|
専門性 | ◎ | ○or△ | ◎ |
抜歯対応 | × | 〇 | 〇 |
虫歯・歯周病治療 | × | 〇 | 〇 |
1つの医院で完結 | × | 〇or△ | 〇 |

抜歯を避ける矯正処置「ディスキング」
ディスキングとは矯正治療の一環として行われる処置です。通常、歯が並ぶスペースが足りないケースでは抜歯が行われることがあります。
抜歯をすればスペースは確保できるものの、健康な自分の歯がなくなってしまうということです。それを避けるために、当院ではディスキングという選択を取ることがあります。
歯の表面には、厚さ2~3mmのエナメル質と呼ばれる硬い層が覆っています。このディスキング処置では、各歯の側面から最大0.5mmまでエナメル質を削り取ることで、歯の並びを改善するためのスペースを作り出します。例えば、前歯6本にディスキングを行うと、合計で3mmのスペースを確保できる計算になります。さらに、前歯以外の歯にもディスキングを施すことで、最大5mmほどのスペースを作り出すことが可能です。
ディスキングは、削るというよりもヤスリで歯を磨くような繊細な処置で行われます。そのため、通常は痛みやしみるような不快症状が生じることは少なく、比較的負担の少ない治療方法です。

歯科矯正用「アンカースクリュー」
従来の矯正治療では、矯正装置を使って歯同士を押したり引っ張ったりして歯を移動させていました。しかし、この方法では望まない歯が動いてしまうこともありました。そこでこの問題を改善するために、アンカースクリューというものが利用されるようになりました。アンカースクリューとは、顎骨にネジのようなものを打ち込み、移動させたい歯だけを効率よく移動させるという方法です。この方法により、従来難しかった位置にある歯の移動も可能になりました。
顎骨にネジを埋め込む作業には不安がある患者さんもいらっしゃるかもしれませんが、打ち込む際も腫れや出血もほとんどなく、安全かつ痛みの少ない治療です。
当院では、患者さんが抱えていらっしゃるお口のお悩みや疑問・不安などにお応えする機会を設けております。どんなことでも構いませんので、私たちにお話ししていただけたらと思います。
ご興味がある方は下記からお問い合わせください。