気になる前歯だけを治療する
「部分矯正」
- 気になる部分の歯を短時間で矯正
- 矯正装置の選択も可能
当院は完全予約制です。
2回目以降のご予約はお電話にて
お願いいたします。








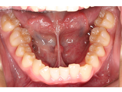
部分矯正とは全部の歯ではなく、前歯など気になる歯の部分を矯正する治療方法です。
一般的な矯正治療は歯の全体に矯正装置をつけて、噛み合わせなどを改善しながら歯を移動させますが、部分矯正は前歯を中心に一部分の歯のみを動かしていきます。
そのため「人から見られやすい前歯だけを直したい」「すきっ歯だけを直したい」と希望する方に適している治療法でもあります。
部分矯正にはワイヤーを使った矯正とマウスピースを使った矯正があります。
ワイヤー矯正では気になる歯の部分にのみに矯正装置を装着して治療を行い、マウスピース矯正は歯の形にそって歯並びを治していきます。


全体的な歯の矯正とは異なり、装着する装置が一部分になるため、コストが他の矯正治療と比べて安価になります。

当院では「ワイヤー矯正」「マウスピース矯正」の矯正方法が選択できます。
「ワイヤー矯正」は歯の表面に器具をつけて歯を矯正する方法です。
通常、金属製のブラケットとワイヤーを使用しますが、セラミック製のブラケットと白色のワイヤーの目立たない装置の組み合わせもご用意しております。
「マウスピース矯正」は透明なマウスピース「インビザライン」を歯に装着して矯正する方法です。
1日の装着時間が22時間以上と決まっていますが、食事や歯磨きの時は自分で取り外しをすることができます。

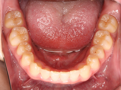
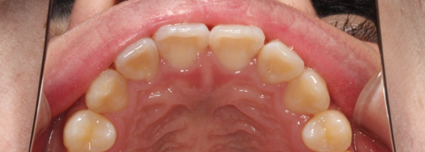
前歯のみの治療、すきっ歯、出っ歯になっている歯、下の歯だけなど、ご希望に合わせた部分的な治療ができます。

部分的な歯の矯正のため、一般的な全体の矯正治療と比べて治療期間が短縮されます。
面接、結婚式など、大事なイベントに合わせた治療計画が立てやすいことも特徴の一つです。

歯並びは全体的なバランスで成り立っているので、一部分の歯を移動させただけでは解決しないこともあります。
例えば前歯2本のみを移動させたいと思っていても、噛み合わせなどの点から、他の歯も移動させなければいけないこともあります。
そのため患者さんの歯の状態によっては、ご希望に添えないこともあります。部分矯正が可能かどうかについては、診察での歯の状態の確認が必要になりますので、まずはご相談ください。
当院では、患者さんが抱えていらっしゃるお口のお悩みや疑問・不安などにお応えする機会を設けております。どんなことでも構いませんので、私たちにお話ししていただけたらと思います。
ご興味がある方は下記からお問い合わせください。